Κατάγματα Άνω Άκρου

Κατάγματα Άνω Άκρου

ΠΕΡΙΕΧΟΜΕΝΑ

Τα κατάγματα άνω άκρου είναι κοινά και μπορεί να είναι απλά ή εξαιρετικά επιπλεγμένα.

Τα κατάγματα και εξαρθρήματα στη περιοχή του άνω άκρου αφορούν τη περιοχή του ώμου δηλαδή τα οστά του βραχιονίου, ωμογλήνης, κλείδας και ωμοπλάτης. Επιπλέον αφορούν το υπόλοιπο βραχιόνιο, τις 3 αρθρώσεις του αγκώνα, το αντιβράχιο, τη πηχεοκαρπική, τα μικρά οστά του καρπού καθώς και τα μετακάρπια και τις φάλαγγες των δακτύλων.

Υπάρχουν 64 οστά στην περιοχή των άνω άκρων – 10 στον ώμο και το βραχιόνιο, 16 στη περιοχή του καρπού και 38 στα χέρια και τα δάχτυλα. Τα κατάγματα της κλείδας και της πηχεοκαρπικής είναι τα πιο συχνά στο άνω άκρο.

Ο Διευθυντής Ιωάννης Πολυζώης έχει τη κατάλληλη εκπαίδευση και εμπειρία να προσφέρει στον ασθενή υψηλού επιπέδου φροντίδα με εξατομικευμένη συντηρητική ή χειρουργική θεραπεία όπου αυτό ενδείκνυται και βέβαια πλήρη αποκατάσταση και επιστροφή στη κανονικότητα.

Διαθέτει πάνω από 15ετή εμπειρία στην αντιμετώπιση των καταγμάτων άνω άκρου, γόνατος και κάτω άκρου- συμπεριλαμβανομένου διαχείρισης των πιο περίπλοκων καταγμάτων και εξαρθρημάτων καθώς και αναθεωρήσεων οστεοσύνθεσης.

 

Πιο αναλυτικά ο Κος Πολυζώης αναλαμβάνει

  1. Απλά και σύνθετα κατάγματα/κακώσεις , ρήξεις τενόντων και συνδέσμων του άνω και κάτω άκρου.
  2. Αντιμετώπιση σύνθετων καταγμάτων βραχιονίου, ωμογλήνης, ωμοπλάτης και κλείδας.
  3. Κατάγματα /εξαρθρήματα ώμου και αγκώνα που χρήζουν αντιμετώπισης με Αρθροπλαστική.
  4. Επανορθωτικά χειρουργεία για πλημμελή πώρωση, λοιμώξεις, οστικά ελλείμματα και μυοσκελετικούς όγκους.
  5. Κατάγματα πηχεοκαρπικής και άκρας χείρας συμπεριλαμβανομένων καταγμάτων σκαφοειδούς και εξαρθρημάτων στα μικρά οστά του καρπού.

Τα χειρουργεία πραγματοποιούνται αρθροσκοπικά ή με τεχνικές και τομές ελάχιστης επεμβατικότητας με γνώμονα τη ταχύτερη και βέλτιστη αποκατάσταση.

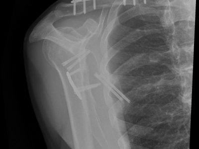
Παρακάτω παρατίθενται ακτινογραφίες καταγμάτων του άνω άκρου που αντιμετωπίζονται με εσωτερική οστεοσύνθεση ή επανορθωτική χειρουργική με αρθροπλαστική.

Η κIνηση εIναι ζωH!

Επικοινωνήστε με τον γιατρό για εξειδικευμένη ορθοπαιδική φροντίδα, προσαρμοσμένη στις ανάγκες σας

Συχνές ερωτήσεις

Ποιοι παράγοντες επηρεάζουν την ταχύτητα αποκατάστασης;
+

Η ηλικία, η γενική υγεία, το κάπνισμα, το επίπεδο δραστηριότητας και η σωστή συμμόρφωση στις οδηγίες του ιατρού παίζουν σημαντικό ρόλο στην επούλωση και πώρωση του κατάγματος.

Πότε μπορώ να χρησιμοποιήσω ξανά το χέρι μου κανονικά;
+

Η πλήρης χρήση εξαρτάται από την πώρωση του οστού και την αποκατάσταση της μυϊκής δύναμης, κάτι που επιτυγχάνεται σταδιακά με φυσικοθεραπεία. Για τα περισσότερα κατάγματα του άνω άκρου αυτό συμβαίνει μετά τις 4 εβδομάδες.

Μπορεί ένα κάταγμα να προκαλέσει δυσκαμψία στις αρθρώσεις;
+

Ναι, ιδιαίτερα αν η ακινητοποίηση είναι παρατεταμένη. Η έγκαιρη κινητοποίηση και φυσικοθεραπεία βοηθούν στην αποφυγή της.

Πότε είναι ασφαλές να επιστρέψω σε χειρωνακτική εργασία;
+

Η επιστροφή γίνεται σταδιακά και μόνο όταν έχει αποκατασταθεί πλήρως η σταθερότητα και η δύναμη του άνω άκρου. Αυτό εξαρτάται από τη φύση και την περιοχή του κατάγματος αλλά μπορεί να χρειαστεί έως και 6 εβδομάδες.